- トップ
- 診療分野
- 放射線診療部門
放射線診断部門
放射線診断・治療機器の進歩やICT化によって放射線診療業務は拡大し、多様化が進んでいます。画像診断部門では単純エックス線、マンモグラフィ、上部消化管造影や注腸検査などの各種造影検査から、最新鋭のCT、MRI検査を施行し、得られた検査画像の読影評価を行っています。各画像診断法の特徴を生かしながら、オーダーメードの至適検査となるように各診療科や他医療機関と連携して撮像プロトコールを決定し、的確な診断が得られるように画像処理法や画像表示法を工夫しながら解析して、画像診断報告書を作成しています。CTなどのコンピュータ断像診断は年々増加の一途で、コロナ禍になってからは、各科から依頼される胸部単純エックス線検査の報告書作成件数も大幅に増えています。また、各種カンファレンスやキャンサーボードを通じて診療各科と密に連携し、医用画像から得られる情報を的確に余すことなく伝えることを心掛けています。
単純X線
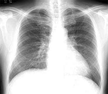
最も歴史のある画像診断法ですが、今なお画像診断の基本となる重要な検査です。当科では胸部、腹部、骨、関節、乳腺をはじめとする幅広い領域の単純X線を読影しています。
当教室が長年にわたって研究開発に取り組んでいる診断支援技術の一つに経時差分法があります。下図に、コンピュータ支援診断法の一例を示します。経時的差分法というコンピュータ画像処理により、撮影時期の異なる2枚の単純X線写真の差分を取り、正常構造を消去する事により、経時的変化を強調して描出する手法を示しています。通常の胸部単純X線写真だけではわかりにくい病変も、前回の写真とのデジタル差分画像を取得することにより、見逃すことなく診断できるようになりました。



造影X線検査
単純X線検査で見えにくい病変を、造影剤を用いてハッキリと描出する検査です。食道、胃、十二指腸、小腸、大腸などの病気では、バリウムと空気(発泡剤)を飲み込んだり、チューブ(ゾンデ)から注入したりして検査を行います。腎、尿管、膀胱などの病気では、ヨード造影剤を静脈に注射して、その排泄の様子を観察します。これら消化管造影検査や尿路造影検査の歴史は古く、知識の蓄えも豊富で、現在も日常の診療において重要な役割を担っています。当科では、基本的な消化管造影検査のほぼ全てを施行しており、客観的な評価に耐えうる画像を安定して得られるように努力しています。
下部消化管造影


CT検査
人体に様々な方向からX線を照射し、透過したX線をコンピュータで解析することで、あらゆる体の部位の断層画像が得られる装置です。CTの登場は放射線診断の画期的な向上をもたらしましたが、マルチスライスCTが開発され、緻密で高精度な画像を短い時間で撮影できるようになりました。当科でも最新鋭の320列のマルチスライスCTが導入され、短時間に広範囲の画像を撮影することが可能になっています。この装置の細かい体軸方向分解能が得られる利点を生かして、視覚的にわかりやすい立体画像の作成や診断精度向上のための再構成画像の作成も行っています。2次元の断面像のみならず、美しい3次元画像や、時間軸を含めた4次元のCT画像も作成可能です。また、画像診断のみでなく、CT透視を利用した生検や手術を援助するマーキングなども行っています。
MRI検査

大きな磁石と電磁波を使用することで人体の断層画像を得る診断装置です。体のどの方向からでも断層画像を撮影することができます。MRIでは撮影条件を変えることにより様々な異なった画像を得ることができますが、できるだけ的確な病変の質的診断や広がり診断が得られるように複数の撮像法を組み合わせて診断しています。当院では3台の3T装置が稼働しており、2台は最新鋭の3T装置です。
3T MRI装置について
組織分解能の高い鮮明な形態画像だけでなく、血液量や血流動態、細胞の代謝の状態を観察するための機能画像も撮像しています。また血管を選択的に描出するMRアンジオグラフィや胆嚢、胆管、膵管を非侵襲的に描出するMRCPなども日常的に撮像しています。特に3T装置の高い信号雑音比は微細構造の描出に威力を発揮しています。


